Sérgio Calvão de Melo

Médico Dentista

  • Inicio
  • Especialidades
  • Acerca
  • Galeria
  • Contactos

A clínica cumpre todas as exigências sanitárias recomendadas pela DGS

PERIODONTOLOGIA

      Imagens

    • Doença periodental - Riscos

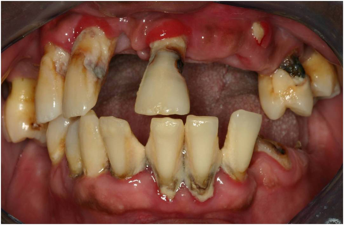
    • Doença periodontal - Caso clinico

    • Doença periodontal - Estadios

    • Doença Periodontal

    • Doença Periodontal

    • Doença Periodontal

    • Doença Periodontal

    • Doença Periodontal

    • Doença Periodontal

    • Doença Periodontal

    • Halitose

Morada
  • Rua do Souto 47 - 2º
    4700-329 Braga
  • 253 609 150 (chamada rede fixa nacional)
  • 917 531 003 / 967 085 608 (chamada rede móvel nacional)
  • sergiocalvaomelo@gmail.com
Horário
  • 10:00 - 12:00 / 14:00 - 19:00
    Seg. - Sexta
    08:00 - 13:00 / Sábado
Especialidades
  • Dentisteria
  • Endodontia
  • Periodontologia
  • Ortodontia
  • Implantologia
  • Prostodontia
  • Branqueamento Dentário
  • Cirurgia
  • Patologia Oral
  • Reabilitação Estética Facial
Desenvolvido por: 2RPS Software